La Morfofisiología del Evento Vascular Cerebral (EVC)

Unidad de Apoyo para el Aprendizaje


Proyecto PAPIME Clave: PE308817

Iniciar

Introducción


Al igual que el resto de nuestros órganos, el cerebro necesita oxígeno y nutrientes aportados por la sangre, los cuales llegan mediante las arterias cerebrales, que no poseen sistemas de almacenamiento de energía, por lo que se hace necesario que el aporte sea constante y permanente.

El evento vascular cerebral o EVC ocurre cuando una arteria cerebral es obstruida por un coágulo de sangre para el suministro de oxígeno hacia el cerebro. Sin oxígeno, los tejidos cerebrales mueren en pocos minutos. Como resultado, dejan de funcionar correctamente las partes del cuerpo que están bajo el control de estas células, ocasionando la aparición de síntomas neurológicos secundarios a la falta de oxígeno.

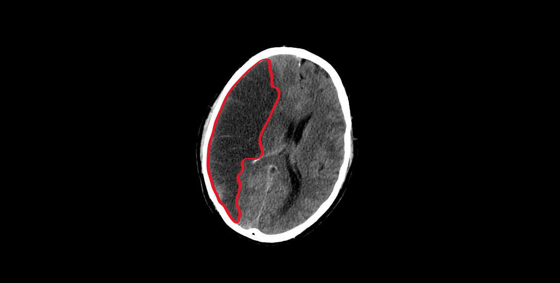
Pulsa para observar algunas tomografías sobre el EVC.


En esta unidad podrás reconocer de manera general los componentes que conforman la circulación cerebral que, en conjunto con el tiempo, son determinantes para localizar a qué nivel de la circulación cerebral ocurrió el daño.



Reconocer el evento vascular cerebral (EVC) a partir de su definición, clasificación y sus componentes morfofisiológicos, factores etiológicos, signos y síntomas, para las bases del proceso fisiopatológico.

Definición


El evento vascular cerebral (EVC) se ha definido tradicionalmente como un síndrome clínico caracterizado por el rápido desarrollo de síntomas y/o signos correspondientes usualmente a una afección neurológica focal, y que persiste más de 24 horas, sin otra causa aparente distinta del origen vascular.

Clasificación del EVC

(s. a.) (s. f.). [Entrada: Ischemic stroke] [gráfico]. Tomada de https://commons.wikimedia.org/wiki/File:Ischemic_Stroke.svg


Clasificación y porcentaje de suceso del EVC

La isquemia cerebral es la consecuencia de la oclusión de un vaso y puede tener manifestaciones transitorias (ataque isquémico transitorio) o permanentes, lo que implica un daño neuronal irreversible. En la hemorragia intracerebral (HIC), la rotura de un vaso da lugar a una colección hemática en el parénquima cerebral o en el espacio subaracnoideo (Barinagarrementeria y Cantú, 2003).

Isquemia


Isquemia cerebral

(s. a.) (s. f.). [Entrada: Brain isquemia] [tomografía axial computarizada]. Tomada de https://en.wikipedia.org/wiki/Brain_ischemia


La isquemia cerebral es un estado dinámico e inestable donde la magnitud del daño al tejido cerebral dependerá de tres factores fundamentales:


Factores de la isquemia cerebral

Suceso de una isquemia

Clasificación

Dependiendo de su duración, la isquemia puede ser transitoria sin producir daño cerebral cuando el flujo sanguíneo se restablece con prontitud, o puede prolongarse hasta conducir a la destrucción de las neuronas, dando lugar al infarto cerebral.

Clasificación de un evento vascular cerebral (Barinagarrementeria y Cantú, 2003)

Subclasificación clínica

Después de clasificar la isquemia por el tiempo, se procede a realizar una clasificación mucho más específica, tomando en cuenta el lugar en donde se produce el daño, ya sea en la porción carotídea o en la porción basilar y las que afectan las diferentes arterias, hablando a nivel intracraneal y extracraneal.

Subclasificación clínica de un evento vascular cerebral (Barinagarrementeria y Cantú, 2003)

Hemorragia


Gráfico de un cerebro con hemorragia cerebral

Porras, M. (s. f.). Evento vascular cerebral (EVC). Tomada de http://neurochih.com/Inicio/evento-vascular-cerebral-evc/


Un evento vascular cerebral (EVC) hemorrágico es una condición que ocurre cuando un vaso sanguíneo en el cerebro se rompe. La sangre se sale y puede irritar o lastimar al tejido cerebral, o causar daño al empujar contra áreas vecinas. A continuación podrás visualizar un esquema de cada una con sus subcategorías y características correspondientes.


Clasificación de la hemorragia cerebral (Barinagarrementeria y Cantú, 2003)

La hemorragia intracerebral ocurre cuando la rotura de un vaso cerebral da lugar a un sangrado espontáneo dentro de la cavidad craneal; se clasifican de acuerdo con su localización.

La hemorragia intraparenquimatosa (HIP) es una colección hemática dentro del parénquima encefálico, producida por rotura vascular, cuya forma, tamaño, localización y etiología es variable. Las manifestaciones clínicas de la HIP son acordes con la localización del hematoma y dependiendo de la causa subyacente de la hemorragia, la HIP se divide en primaria o secundaria.



Hemorragia subaracnoidea



Datos sobre la hemorragia subaracnoidea

Este tipo de hemorragia está relacionada con el consumo excesivo de alcohol, tabaquismo y HTA, además de representar un mayor riesgo de HSA para las mujeres (Barinagarrementeria y Cantú, 2003).

Circulación cerebral


La importancia de conocer el sistema de vascularización es la relación que guarda para diagnosticar un EVC o alguna otra patología. Es este sistema el que va a prever de oxígeno y sangre al cerebro si llegara a ocurrir alguna obstrucción al nivel de cualquier estructura que lo componga. El aporte sanguíneo disminuiría y la vida del paciente jugaría un papel muy importante, donde el tiempo es un factor vital.

A diferencia de la mayoría de órganos, cuyo sistema de vascularización se basa en un pedículo vascular único, el encéfalo posee una irrigación especial compuesta por cuatro grandes arterias que forman dos grandes sistemas vasculares bien diferenciados:


Circulación cerebral

Las arterias vertebrales se fusionan intracranealmente formando un tronco conocido como arteria basilar. En la siguiente imagen puedes observar el énfasis en las regiones que irriga el sistema carotídeo y vertebrobasilar:

Corte transversal de cerebro humano, el circuito cerebral arterial y sus principales áreas de irrigación

(s. a.) (s. f.). [Entrada: Edema cerebral] [tomografía]. Tomada de https://commons.wikimedia.org/wiki/File:MRI_brain_tumor.jp



Pulsa en cada región para reconocer su estructura y descripción

La carótida común izquierda se deriva del arco aórtico, mientras que la carótida común derecha se deriva de la arteria innominada. Las variaciones más comunes incluyen el origen anómalo de la carótida común izquierda a partir de la innominada o la carótida común derecha del arco aórtico (Poveda, 2009).

Usualmente no se derivan ramificaciones de las carótidas comunes antes de su bifurcación, aunque la arteria tiroidea superior y la arteria faríngea ascendente pueden derivarse de este vaso cuando la bifurcación ocurre a un nivel muy alto, usualmente más allá del cuerpo de la tercera vértebra cervical (Poveda, 2009).


Esquema de la arteria carótida

(Poveda, 2009)


La arteria carótida externa tiene ocho ramas, las cuales irrigan usualmente segmentos extracraneanos. Éstas son la tiroidea superior, la faríngea ascendente, la lingual, la facial, la occipital, la auricular posterior, la temporal superficial y la arteria maxilar. Varias de estas arterias suplen la duramadre de la superficie cerebral basal y lateral. Dichas ramas meníngeas suplen también la duramadre de la fosa posterior de manera compartida con ramas de la arteria occipital (Poveda, 2009).


Anatomía de la arteria carótida externa

(s. a.) (s. f.). [Entrada: Arteria carótida externa] [ilustración]. Tomada de https://commons.wikimedia.org/wiki/File:Arteria_car%C3%B3tida_externa.png


La arteria vertebral se divide en cuatro segmentos: el inicial, el intervertebral, el horizontal y el intracraneano. Las ramas del segmento intervertebral son la meníngea, la muscular y las radiculares. Las meníngeas suplen la duramadre del foramen magno; las musculares, los músculos profundos del cuello y crean anastomosis hacia la occipital. Las radiculares entran al canal espinal y proveen colaterales hacia la espinal anterior y posterior, ramas del segmento horizontal. Este segmento provee también ramas meníngeas pequeñas, que suplen a la duramadre de la fosa posterior y se anastomosan con su vertebral homóloga y con ramas de la carótida externa. Las mencionadas ramas espinales proveen flujo hacia la médula oblongada (o bulbo raquídeo) y a la espina dorsal posterior. Las ramas del segmento intracraneano incluyen la espinal anterior y la ínferoposterior cerebelar (Poveda, 2009).

Sistema vértebro-basilar (Poveda, 2009)

(Poveda, 2009)


El polígono de Willis está conformado por las dos carótidas internas, los dos segmentos de arteria cerebral anterior, las arterias comunicantes anteriores, posteriores y las arterias cerebrales posteriores. Usualmente provee la comunicación entre la circulación posterior y la anterior, aunque esta conformación normal se observa en el 50 % de los pacientes. Las variaciones más comunes son la hipoplasia de la comunicante posterior izquierda, ramas de la comunicante posterior, paralelas a la coroidea anterior, la comunicante posterior izquierda que se origina de la carótida interna izquierda y la ausencia de la arteria comunicante posterior derecha.

Círculo arterial cerebral

Círculo arterial cerebral Wikipedia. (s. f.). [Entrada: Circuito arterial cerebral] [gráfico]. Tomada de https://es.wikipedia.org/wiki/C%C3%ADrculo_arterial_cerebral



*Con Letra de Doctor. (18 de abril de 2017). VASCULARIZACIÓN ARTERIAL ENCEFÁLICA PARTE 1: carótida interna [Archivo de video]. Consultado de https://www.youtube.com/watch?v=P9tumdhT0Y4&t=109s&list=LLQDMz-7G-3u-hAYhlTx3gig&index=1

*Con Letra de Doctor. (01 de mayo de 2017). VASCULARIZACIÓN ARTERIAL ENCEFÁLICA PARTE 2: vertebro-basilar [Archivo de video]. Consultado de https://www.youtube.com/watch?v=7f6VjMIsYIg

Factores etiológicos del EVC


Factores etiológicos del EVC


Factores de riesgo

Pulsa en cada factor de riesgo para que revises su impacto y relación con el EVC.


El mayor factor de riesgo para EVC sea isquémica o hemorrágica es la hipertensión arterial en personas de todas las edades y de ambos sexos. Cerca de 40 % de los EVC se relaciona con presiones arteriales sistólicas mayores de 140 mmHg. La hipertensión promueve la aterosclerosis en el arco aórtico y en las arterias cervicales, causa aterosclerosis y lipohialinosis.

Manos de enfermero y paciente durante una toma de presión

(s. a.) (2018). Presión arterial [fotografía]. Tomada de https://pixabay.com/es/mujer-persona-escritorio-trabajo-3187087/


La relación entre colesterol sérico y EVC no es del todo clara. La hipercolesterolemia interviene en la aterosclerosis de los grandes vasos y de las arterias carotídeas y se ha observado una relación entre hipercolesterolemia y EVC isquémico.

Huevo cocido

(s. a.) (2018). Presión arterial [fotografía]. Tomada de https://pixabay.com/es/mujer-persona-escritorio-trabajo-3187087/


El cigarrillo ha sido relacionado con todas las clases de EVC. El cigarrillo puede contribuir elevando los niveles sanguíneos de fibrinógeno y de otras sustancias procoagulantes. El riesgo relativo de EVC para fumadores es de 1.51, siendo más alto para la mujer que para el hombre.

Cigarro humeando

(s. a.) (2013). Daño pulmonar [fotografía]. Tomada de https://pixabay.com/es/cigarrillo-humo-ascuas-cenizas-110849/


Éste se comporta como un factor de riesgo independiente para EVC, y en conjunto con el cigarrillo está presente en el 60 % de los pacientes mayores de 65 años con EVC. El sobrepeso se asocia a otros factores de riesgo como hipertensión, dislipidemia, hiperinsulinemia e intolerancia a la glucosa. Para todos los tipos de EVC, el riesgo poblacional debido a obesidad oscila entre el 15 % a 25 %.

Médico midiendo cintura de paciente

(s. a.) (2017). Sobrepeso [ilustración]. Tomada de https://pixabay.com/es/obeso-de-peso-la-p%C3%A9rdida-de-hombre-3011213/


Las concentraciones plasmáticas de fibrinógeno son un factor de riesgo para EVC. Las mismas se ven afectadas por el alcohol, cigarrillo, sobrepeso, sedentarismo y algunos factores psicosociales.

Enfoque a grupo sanguíneo

(s. a.) (2017). Grupo sanguíneo [gráfico]. Tomada de https://pixabay.com/es/el-grupo-sangu%C3%ADneo-sangre-0-2781421/


La diabetes es uno de los factores de riesgo más importantes en el EVC. La diabetes se asocia con una prevalencia anormalmente alta de factores de riesgo para enfermedad cardiovascular como hipertensión arterial, obesidad y dislipoproteinemia. La diabetes es un factor de riesgo independiente para EVC. Un paciente diabético, hombre o mujer, tiene un riesgo relativo para cualquier tipo de EVC.

Dedo índice después de análisis de glucosa

(s. a.) (2014). Diabetes [fotografía]. Tomada de https://pixabay.com/es/diabetes-la-sangre-glucosa-prueba-2424105/


El uso de anticonceptivos orales, especialmente aquellos que tienen concentraciones relativamente altas de estrógenos, se ha relacionado con la presencia de EVC tanto isquémica como hemorrágica.

Anticonceptivos orales

(s. a.) (2014). Anticonceptivos orales [fotografía]. Tomada de https://pixabay.com/es/medicamentos-cura-tabletas-farmacia-342462/


La dieta puede influir sobre la hipertensión arterial y el desarrollo de la ateroesclerosis. Altas concentraciones de sodio, bajas concentraciones de potasio, sobrepeso y la ingesta de alcohol se han relacionado de manera independiente como factores asociados con el desarrollo de hipertensión. Asimismo, se ha sugerido que dietas ricas en vegetales y frutas pueden proteger contra la aparición de EVC. La relación entre el consumo moderado de alcohol y el EVC no ha sido del todo bien determinada; se ha calculado en 19 % el riesgo relativo; para EVC isquémico, en consumidores moderados de alcohol, entre 0.3 % y 0.5 %; para EVC hemorrágico, el riesgo se incrementa entre dos y cuatro veces.

Bandeja de comida

(s. a.) (2017). Bandeja de desayuno [fotografía]. Tomada de https://pixabay.com/es/bandeja-desayuno-muesli-frutas-2546077/


La existencia de patología cardiaca como fibrilación auricular, cardiomiopatías dilatadas, presencia de trombos murales o válvulas protésicas se ha relacionado con eventos de cardioembolismo.

Gráfico de corazón

(s. a.) (2017). Corazón eléctrico [gráfico]. Tomado de https://pixabay.com/es/heart-plug-music-pasi%C3%B3n-canci%C3%B3n-2560532/





Factores etiológicos del evento vascular cerebral (Sancho y Rodríguez, 2012)

Signos y síntomas clínicos


De acuerdo con el vaso ocluido, varía la presentación clínica de los pacientes, pudiendo enmarcarse ésta dentro de diferentes síndromes clínicos.

Existen diferentes signos y síntomas que se presentan en el EVC, los cuales van a desencadenar la aparición de diferentes manifestaciones clínicas. En los siguientes esquemas se resumen los principales síntomas y signos de la isquemia cerebral en el territorio carotídeo y vertebrobasilar.

Pulsa en cada signo y síntoma clínicos para reconocer su estructura cerebral.


Actividad 1. Composición del EVC

Es fundamental reconocer la composición del síndrome clínico denominado “evento vascular cerebral” (EVC) para proceder correctamente y tomar las decisiones que correspondan a la situación que se presente, pues sin el suministro de oxígeno los tejidos cerebrales mueren en pocos minutos.

Actividad 2. Entre factores y el EVC

La fatalidad en la presentación del evento vascular cerebral depende de varios factores, entre los que sobresalen la edad y la condición de salud previa.


Autoevaluación. La composición de una alteración neurológica

El EVC es una alteración neurológica que se caracteriza por su aparición brusca, generalmente sin aviso, con síntomas de 24 horas o más, causando secuelas severas o hasta la muerte.


Fuentes de información

Básicas

Bibliografía

Barinagarrementeria, F. y Cantú, G. (2003). Enfermedad vascular cerebral (3.ª ed.) (pp. 1-10 y 23-44). México: El Manual Moderno.

Sancho, J. y Rodríguez, A. (2012). Manual del residente de neurología (pp. 1307 y 1647-1667). Madrid: ENE Life Publicidad S. A.

Documentos electrónicos

Arana, A., Uribe, C. S., Muñoz, A., Salinas F. A. y Celis, J. I. (s. f.). Enfermedad cerebrovascular [Versión electrónica]. Consultado el 31 de octubre de 2018 de http://www.medynet.com/usuarios/jraguilar/Enfermedad%20cerebrovascular.pdf

Arauz, A. y Ruíz-Franco, A. (2012, mayo-junio). Enfermedad vascular cerebral Revista de la Facultad de Medicina de la UNAM, 55(3), 11-21. Consultado el 31 de octubre de 2018 de http://www.scielo.org.mx/pdf/facmed/v55n3/v55n3a3.pdf

Cazares, K. (2015, julio-septiembre). La enfermedad vascular cerebral en México: un problema de salud en incremento . Anales de Radiología México, 14(3). Consultado el 11 de enero de 2018 de http://www.medigraphic.com/pdfs/anaradmex/arm-2015/arm153a.pdf

Poveda, J. (2009, julio-diciembre). Anatomía básica cerebral para el cardiólogo intervencionista. Revista Costarricense de Cardiología, 11(2), 33-40. Consultado el 31 de octubre de 2018 de http://www.scielo.sa.cr/pdf/rcc/v11n2/a10v11n2.pdf



Cómo citar

Flores, C. y Rodríguez, G. (2018). La morfofisiología del evento vascular cerebral (EVC). Unidades de Apoyo para el Aprendizaje. CUAED/ENEO-UNAM. Consultado el (fecha) de (vínculo)